发布日期:2025-09-24 09:31 浏览次数:次
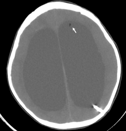
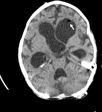
案例分享 5岁女童脑脊液感染案例 感染是脑室分流术最可怕的并发症,因为它会增加患者智力障碍和死亡的风险。脑室内异物可能代表感染的病灶。导管碎片和骨碎屑是脑室中最常见的异物。在这里报告了一例 5 岁女孩脑室内骨蜡导致持续性脑脊液感染的病例。 图1. 轴向平面的计算机断层扫描。异物表现为黑点(箭头) 该患者2岁时诊断为小脑毛细胞型星形细胞瘤,2012年11月经枕下入路切除肿瘤。术后出现急性脑积水,行右额叶钻孔内镜下第三脑室引流术,该手术失败一周后改为脑室-腹腔分流术。7个月后发生表皮葡萄球菌引起的脑脊液感染,分流管被移除,置入右额叶外引流管,期间多次更换并调整位置,直至脑脊液无感染。随后两年内,患者反复出现分流管相关感染,包括腹膜炎及心内膜炎,期间置入脑室-心房分流管。每次感染均通过移除分流管及外引流治疗,直至脑脊液培养阴性。所有感染病原均为表皮葡萄球菌,治疗过程复杂且反复发作。 2015年6月,患者入我科,表现为严重神经发育迟缓、无动性缄默症及痉挛性四肢瘫痪,伴有1个月呕吐和低热。行分流椎穿刺,脑脊液培养显示表皮链球菌阳性。分流器被外部分流器替换,并开始抗生素治疗。因脑脊液持续未清除感染,21天内外部分流器更换两次。期间对患者所有神经影像学资料进行了详细评估。自 2014 年 1 月以来进行的所有扫描中,轴向 CT 扫描中出现低密度斑点(图1)。 在左额角顶部发现轴向MRI T1 加权和 T2 加权 (图 2 和 3)的低信号(图 4)。在矢状面影像上,该病灶呈现为一条线状结构(类似血管或小型脑室导管)。神经放射科医师对其解读不一,CT上被认为是气体,MRI上则被视为小型室管膜血管,或与脑室导管混淆。2015年6月脑脊液感染活动期行增强MRI检查,显示该黑色点对应的室管膜表面出现强化(见图3)。怀疑存在异物,遂通过既往左额叶钻孔行内镜检查。于左侧侧脑室额角发现一段长约2厘米、直径数毫米的骨蜡碎片。该碎片仅松散附着于室管膜表面,使用活检钳轻松取出(见图5)。该骨蜡碎片送实验室进行微生物学检测,结果培养出表皮葡萄球菌。经过两周的外引流及抗生素治疗后,脑脊液感染清除,随后重新置入脑室-腹腔分流管,未再发生感染。 图2. 轴向平面中的 T2 加权磁共振成像。箭头表示骨蜡碎片,它显示为流动空隙 图3. 轴向 (A) 和矢状面 (B) 的对比增强 T1 加权磁共振成像。小箭头表示流动空隙(骨蜡碎片),大箭头表示室管膜面向骨蜡碎片的增强(室管膜炎) 图4. 2014 年 1 月进行的计算机断层扫描,其中黑点(箭头)也很明显 图5. 左侧脑室骨蜡碎片的术中内窥镜视图 本例中,脑室内骨蜡异物误诊持续时间至少达一年,神经放射学诊断极为困难。已有少数文献描述骨蜡的影像学表现,强调其与气体的相似性。Hadeishi等报道了7例骨蜡堵塞乙状窦的病例,影像上显示窦内低密度肿块,其密度值介于脂肪的低衰减与水的中间衰减之间,范围为−34至−79 HU。Stein等描述了一例胸椎手术后因骨蜡碎片引发急性截瘫的病例,患者接受了MRI评估。骨蜡在T1加权和T2加权影像上表现为信号缺失区。这种信号缺失是由于骨蜡的半结晶固体性质所致。该特性是所有结晶材料的典型表现,类似于水形成冰晶时的情况。MRI上的信号缺失区既可能由术后残留气体引起,也可能是手术器械产生的伪影所致。气体因质子密度低,在MRI上产生信号缺失;而手术器械同样会引起信号缺失,但可通过伪影的形态特征与骨蜡加以区分。 CT检查应能更准确地区分气体与骨蜡;采用适当的骨窗进行回顾性观察尤为重要,因为仅在软组织窗下,气体与骨蜡的衰减值可能表现相同。 分流系统感染是脑室分流术中最严重的并发症之一,尤其在儿童和老年患者中,感染可显著增加智力障碍和死亡风险。外科医生应高度重视此类并发症,采取一切可行措施防止手术材料自钻孔部位脱落进入脑室腔内,或应用可吸收材料,以降低感染及其他相关风险。 Spennato, P., et al. Intraventricular Bone Wax as Cause of Recurrent Cerebrospinal Fluid Infection: A Neuroradiologic Pitfall. World Neurosurgery, 2016. 88: p. 690.e7–690.e9. END 文稿 | 付晴雨 排版 | 雷嘉琪 审核 | 贾光耀




